FIGURE SUMMARY
Title

Meioc-Piwil1 complexes regulate rRNA transcription for differentiation of spermatogonial stem cells

Authors
Kawasaki, T., Nishimura, T., Tani, N., Ramos, C., Karaulanov, E., Shinya, M., Saito, K., Taylor, E., Ketting, R.F., Ishiguro, K.I., Tanaka, M., Siegfried, K.R., Sakai, N.
Source
Full text @ Elife

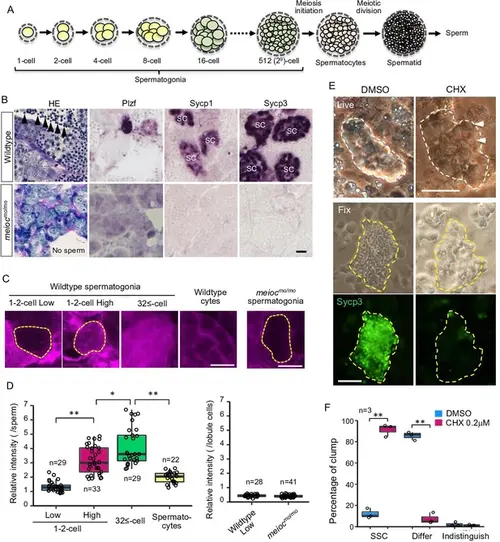
Low translational activity of meioc mutant spermatogonia. (A) Schema of the development of spermatogonial cysts surrounded by Sertoli cells and progression of spermatogenesis in zebrafish. (B) Histology (HE) and immunostaining against Plzf and spermatocyte markers (Sycp1, 3) in the wild-type and the moto-/- testes. Arrowheads: sperm. SC: spermatocytes. Scale bar: 10 µm. (C, D) OP-Puro fluorescence analysis (C) and quantification of the signal intensities (D) in wild-type and meiocmo/mo spermatogenic cells. Dotted lines: 1- to 2-cell spermatogonia. Scale bars: 10 µm. (E–F) Effect of cycloheximide (CHX, 0.2 µM) on differentiation of spermatogonial stem cells (SSCs) in culture. Dotted lines: germ cell clumps. Sycp3: immunostaining of Sycp3. Arrowheads: examples of a cell with a large nucleolus. Scale bar: 50 µm. The graph (F) presents the percentage of clumps of SSCs and differentiated cells (Differ) shown in E. Indistinguish: not determined whether dominant cell type was stem or differentiated. Data are represented as mean ± SD. *p<0.05, **p<0.01.

Phenotypes of testes and early gonads of the moto-/- mutant. (A) PH3 and TdT-mediated nick-end labeling (TUNEL) assays of wild-type and moto-/- testes. PH3-positive spermatogonia were detected in moto+/+ and moto-/- testes. TUNEL-positive cells were barely detected in moto+/+ testes, while a considerable number of cells were detected in moto-/- testes. Black arrowheads indicate positive spermatogonia. (B) Histology of early gonads of moto+/- and moto-/-. Growing oocytes (arrowheads) were observed in heterozygous larvae but not in mutant larvae. Developmental stages are indicated by days post-fertilization (dpf). Scale bar: 20 µm. (C) Comparison of mouse and zebrafish Meioc protein sequences. The sequence of zebrafish Meioc (ENSDARG00000090664) was aligned to that of mouse MEIOC (ENSMUSG00000051455). Alignment analyses were performed using EMBOSS NEEDLE, an online software program (https://www.ebi.ac.uk/Tools/psa/emboss_needle/). A coiled-coil domain composed of four helices, PF15189 (previously DUF4582), is conserved in animals. The two mutations predicted to disrupt the zebrafish meioc gene are shown, and the approximate position of the premature stop codon is indicated relative to the total length of the Meioc protein. (D) HE-stained sections of wild-type testes with all stages of spermatogonia (arrowheads), spermatocytes, and spermatozoa present; the meioct31533 mutant, an additional nonsense allele meiocsa13122, and transheterozygote meioct31533/sa13122 exhibited testes containing single spermatogonia and spermatogonia in small clusters. Scale bar: 20 µm. (E) Western blot analysis of meioc+/+, meioc+/mo, and meiocmo/mo testis extracts. (F) Immunostaining of zebrafish wild-type testes. Absorbed anti-Meioc IgG was treated with Meioc recombinant protein. Scale bar: 10 µm. (G) Immunostaining of meiocmo/mo single spermatogonia. Note that Meioc was not detected in meiocmo/mo spermatogonia. Scale bar: 10 µm.

Expression patterns of Meioc in wild-type germ cells. (A) Expression patterns of meioc mRNA and Meioc protein in gonads at 25 days post-fertilization (dpf) and adult testes and ovaries. Black arrowheads indicate cells that express neither mRNA nor protein, and white arrowheads indicate cells that have the mRNA signals and weak protein signals. Yellow dotted lines indicate cysts containing cells positive for both mRNA and diffuse protein signals, including small or weak granules, and green dotted lines indicate cysts containing cells with mRNA signals and bright protein signals, including large granules. Scale bar: 10 µm. (B) Double staining of ovary at 25 dpf with anti-Meioc antibody (green) and anti-Sycp3 antibody (red). Staging of oocytes was defined by the patterns of Sycp3. Scale bar: 5 µm. (C) Double staining of wild-type testes with anti-Meioc antibody (green) and anti-Sycp3 antibody (red). Staging of spermatogonia was defined by the number of cells in the cyst, and staging of spermatocytes was defined by the patterns of Sycp3. Scale bar: 5 µm.

Effect of cycloheximide on spermatogonia. (A) Dose-dependent protein synthesis by cycloheximide (CHX) in late spermatogonia of the cultured testis. (B) Effect of CHX (1 µM) on BrdU incorporation of cysts of 1- to 4-cell and 32≤-cell spermatogonia in testis organ culture. (C) Western blot analysis of Bmp2 and α-Tubulin (upper panels) and quantification of Bmp2 (lower panel) in the cultured feeder cells with and without 0.2 mM cycloheximide. (D) Toxicity of CHX in cultured testis fragments. CHX was treated with testicular fragments for 48 hr at various concentrations. Note that abnormally strong OP-puro signals indicated by arrowheads including nuclei were detected in cells at 10 mM or more. White dotted line: cysts containing 1- to 4-cell spermatogonia. Green dotted line: cysts containing spermatocytes. Scale bar: 20 µm. For each graph, data were analyzed by Student’s t-test: **p<0.01. ns: no significant difference.

Defect on upregulation of rRNA transcription in meiocmo/mo spermatogonia. (A) In situ hybridization of 5S, 5.8S, 18S, and 28S rRNA and immunohistochemistry with anti-Rpl15 antibody in spermatogonia (gonia) and spermatocytes (cyte) in wild-type and meiocmo/mo. Yellow dotted lines indicate 1- to 2-cell spermatogonia. Percentages represent the frequency of low and high 1- to 2-cell spermatogonia. (B–D) Fluorescent in situ hybridization of 28S rRNA in wild-type. The graphs present quantification of signal intensities of 28S rRNA in nucleoli (C) and in cytoplasm (D) in spermatogenic cells. Arrowheads: nucleoli; cytes: spermatocytes. (E) qRT-PCR analysis of rRNAs and R2 between wild-type and meiocmo/mo purified sox17::egfp positive spermatogonia. Two-way arrows in the schema indicate the position of primers on the rRNA and R2 element. (F) Northern blot analysis of pre-rRNA processing in wild-type and meiocmo/mo testes using probes for 5’ external transcribed spacer (ETS) and internal transcribed spacer 1 (ITS1). Right panel: schema of 45S pre-rRNA and pre-rRNA processing intermediates in zebrafish (Tao et al., 2017). Left panel: Northern blot analysis of pre-rRNA processing in wild-type and meiocmo/mo testes using 5’ETS and ITS1 probes. A probe for the 7SL RNA was used as a loading control. Graphs summarize relative signal intensity of 45S pre-rRNA and intermediates normalized to 7SL in three wild-type and meiocmo/mo testes. (G) Bisulfite-sequencing analysis of the tandem repeat region in the intergenic spacer (IGS) region of the 45S-S rDNA locus in purified undifferentiated spermatogonia of wild-type and meiocmo/mo. Arrows: position of bisulfite primers in the tandem repeat elements (blue, magenta, and white boxes); black dots: methylated CpG sites; white dots: unmethylated sites. *p<0.05, **p<0.01. Scale bars: 10 µm.

Expression pattern of EGFP in the sox17::egfp transgenic testis. Staining of sox17::egfp testis sections with anti-GFP antibody (magenta) and DAPI (cyan). Note that EGFP was strongly expressed in the 1- to 2-cell stage spermatogonia and weakly expressed in the 4- to 8-cell spermatogonia and started to fade at the 8-cell spermatogonia. Stem cell function of sox17::egfp spermatogonia was already confirmed by transplantation experiment (Kawasaki et al., 2016). Dotted lines indicate cysts containing the cell types indicated above in the image. Scale bar: 10 µm.

Schema of the intergenic spacer (IGS) (chromosome 5: 826807–831755 reverse strand) and the 127, 318, and 90 bp tandem repeat sequences (A) and loci of the tandem repeats (B). Two-way arrows indicate the position of primers used in ChIP-qPCR analysis (Figure 6F and G).

ythdc2 mutant spermatogonia have different defects from meiocmo/mo. (A) Histology (HE) and immunostaining against Plzf and spermatocyte markers (Sycp1, 3) in the ythdc2-/- testes. (B) Representative image of meiocmo/mo and ythdc2-/- testes sections stained with PAS (periodic acid Schiff) and hematoxylin. Dotted lines: 1- to 2-cell cyst spermatogonia (black) and 4≤-cell cysts (yellow). (C) The number of 1- to 2-, 4-, and 8-cell cyst spermatogonia per mm2 of sections in wild-type, meiocmo/mo, and ythdc2-/- testes. (D) Ratio of the number of 4- to 8-cell cyst spermatogonia to 1- to 2-cell cysts in wild-type, meiocmo/mo, and ythdc2-/- testes. (E) In situ hybridization of 5S, 5.8S, 18S, and 28S rRNA and immunohistochemistry with anti-Rpl15 antibody in the ythdc2-/- testes. Yellow dotted lines: 1- to 2-cell spermatogonia. *p<0.05, **p<0.01, ns: not significant. Scale bars: 10 µm.

Mutations of the ythdc2-/-. (A) Zebrafish Ythdc2 protein structure and mutation sequence (*) in the ythdc2 KO zebrafish. (B) Double staining of a testis with anti-Ythdc2 antibody (green) and anti-Sycp3 antibody (red). Staging of spermatogonia was defined by the number of cells in the cyst, and staging of spermatocytes was defined by the patterns of Sycp3. Scale bar: 5 µm. (C) Pull-down assay using full-length or coiled-coil domain-deleted Meioc and Flag-tagged Ythdc2. Schema: conditions of coexpression of each protein in HEK-293A cells used for the pull-down assay. (D) In situ hybridization of 28S rRNA (left panels) and quantification of the 28S rRNA signal intensities (right panels) in wild-type, meiocmo/mo, and ythdc2-/- 1- to 2-cell spermatogonia. The cytoplasmic signal intensities were normalized to the myoid cell cytoplasm. **p<0.01, ns: not significant. (E) Immunostaining against Piwil1 (red) and fibrillarin (green) in ythdc2-/- spermatogonia. Arrowheads: undetectable Piwil1 signals in fibrillarin (green) positive nucleoli under the normal sensitivity imaging of Piwil1.

Meioc binds with Piwil1 and affects the localization of Piwil1. (A) Immunostaining of Ddx4 and Piwil1, Piwil2, Tdrd1, and Tdrd6a in wild-type and meiocmo/mo spermatogonia. The arrowhead: the Piwil1 signal in the nucleolus. (B) Immunostaining against Piwil1 and fibrillarin (left panels) and quantification of nucleolar Piwil1 (right panel) in wild-type and meiocmo/mo spermatogonia. Arrowheads: fibrillarin positive nucleolus. (C) Immunostaining of Piwil1 and Ddx4 (left panels) and quantification of Piwil1 in germ granules (right panel) in wild-type and meiocmo/mo spermatogonia. Arrowheads: Ddx4 positive germ granules. (D) Co-immunoprecipitation of Meioc and Piwil1 using testis lysate. Meioc signals were detected in Piwil1 immunoprecipitate and vice versa. Benzonase: addition of benzonase nuclease. **p<0.01. Scale bars: 10 µm.

Immunostaining of Meioc with germ granule components and piRNA profiles in the meiocmo/mo testis. (A, B) Immunostaining of Meioc (green) and Ddx4, Piwil1, Piwil2, Tdrd1, and Tdrd6a (red) in wild-type 1- to 2-cell spermatogonia (A) and spermatocytes (B). Insets show magnified signals of each spot indicated by a white square. Blue in right panels = DAPI. Scale bar: 5 mm. (C) Pull-down assay using Flag-tagged full-length Meioc, coiled-coil domain (PF15189)-deleted Meioc and Piwil1. Schema: conditions of coexpression of each protein in HEK-293A cells used for the pull-down assay. (D–G) Small RNAs from the testes of individual animals with either the meioc+/mo or meiocmo/mo genotypes were sequenced. Data from the individuals were then pooled for each genotype to assess the global effect of Meioc on small RNA production (mean ± SD of 6 meioc+/mo and 5 meiocmo/mo testes). Length profiles of the relative abundance of all 18–35 nt mapped reads (D), as well as only the 28S rRNA (E), 18S rRNA (F), and R2 transposon (G) mapped reads. Significant increases in the small RNAs derived from 18S, 28S rRNA, and R2 transposon were not detected in meioc mutant testes, although Piwil1 was ectopically localized in nucleoli in the mutant spermatogonia. RPM: reads per million.

Reduction of Piwil1 compensated phenotypes of meiocmo/mo. (A, B) In situ hybridization of 28S rRNA in wild-type and meiocmo/mo;piwil1+/- spermatogonia (1- to 2-cell cysts). Graphs (B) show the relative signal intensity in the cytoplasm normalized to the intensity of lobule myoid cells (left) and nucleoli normalized to the intensity of the nucleoplasm (right). (C, D) Differentiated spermatogonia in meiocmo/mo and meiocmo/mo;piwil1+/- testes. Yellow dotted lines: differentiated spermatogonia. Graphs (D) show the number of 16-cell and 32-cell cyst spermatogonia per mm2 of sections. ND: not detected. (E–G) meiocmo/mo and meiocmo/mo piwil1+/- testis sections stained with PAS and hematoxylin. Cysts of 1- to 2-cell spermatogonia (black) and 4≤-cell cysts (yellow) are indicated by dotted lines. Graphs show numbers of 1-, 2-, 4-, and 8-cell cysts per mm2 in sections of meiocmo/mo and meiocmo/mo;piwil1+/- testes (F), and ratio of the number of 4- to 8-cell cysts to 1- to 2-cell cysts in wild-type, meiocmo/mo and meiocmo/mo;piwil1+/- (G). *p<0.05, **p<0.01, ns: not significant. Scale bars: 10 µm.

Reduction of Piwil1 in piwil1+/-. (A) Western blot analysis of Piwil1 and α-Tubulin (upper panels) and quantification of Piwil1 (lower panel) in piwil1+/+ and piwil1+/- testes. (B) Immunostaining against Piwil1 and fibrillarin (left panels) and quantification of nucleolar Piwil1 signal intensities (right panel) in piwil1+/+ and piwil1+/- spermatogonia (1- to 2-cell cysts). Yellow dotted lines: nucleoli. For each graph, data were analyzed by Student’s t-test: *p<0.05.

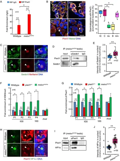
Nucleolar Piwil1 interacted with Setdb1 and caused silenced epigenetic state of rDNA loci. (A) Fold enrichment of pre-rRNA (5’ETS-18S rRNA) in Piwil1 immunoprecipitated RNA relative to the control IgG in wild-type and meiocmo/mo testes. (B) Immunostaining of Piwil1 (left panels) and the percentage of spermatogonia with detectable nucleolar Piwil1 (right panel) in the meiocmo/mo testes treated with α-amanitin (Am), actinomycin D (Ac), and BMH-21 (B). Arrows: Piwil1 detectable nucleoli; arrowheads: Piwil1 undetectable nucleoli; C: control without inhibitors; IC: initial control. (C) Immunostaining of Setdb1 and fibrillarin in wild-type and meiocmo/mo spermatogonia. Arrowheads: nucleoli. (D) Co-IP of Piwil1 and Setdb1 using meiocmo/mo testes lysate. Piwil1 was detected in Setdb1 IP. (E) Intensities of Setdb1 in nucleoli in wild-type and meiocmo/mo spermatogonia. (F, G) ChIP-qPCR analysis of H3K9me3 (F) and Piwil1 (G) levels in 45S-rDNA region in wild-type, piwil1+/-, and meiocmo/mo testes. The position of primers was indicated in Figure 2—figure supplement 2. Mean ± SD are indicated. (H) Immunostaining of HP1α and Piwil1 in wild-type and meiocmo/mo spermatogonia. Arrowheads: nucleolus. (I) Co-IP of Piwil1 and HP1α using meiocmo/mo testis lysate. HP1α was detected in Piwil1 IP. (J) Intensities of HP1α in nucleoli in wild-type and meiocmo/mo spermatogonia. *p<0.05, **p<0.01. Scale bars: 10 µm.

Interaction of Piwil1 with Setdb1 and HP1α. (A) Western blot analysis of wild-type testis extracts using anti-mouse Setdb1 antibody. Arrow: Setdb1. (B) Western blot analysis of zebrafish HP1α expressed from bacterial expression vectors using anti-human HP1α antibody and anti-T7-tag antibody. Isopropyl-β-D-thiogalactopyranoside (IPTG) was added for culture of host cells (BL21) to induce expression of HP1α with T7-tag. Schema: construction of expression vector (pet21a). Arrow: HP1α fusion protein. (C) Western blot analysis of wild-type testis extracts using anti-human HP1α antibody. Arrow: HP1α. (D) Pull-down assay using Flag-tagged HP1α and Piwil1 or EGFP. Schema: conditions of coexpression of each protein in HEK-293A cells used for the pull-down assay.

Meioc was required for upregulation of 28S rRNA. (A) Expression pattern of 28S rRNA in isolated sox17::egfp spermatogonia, based on the amount of Meioc granules and the localization. Right panels are intensities of 28S rRNA for each class of the purified sox17::egfp spermatogonia. 51≤C and N: 51≤cytoplasmic and nuclear Meioc granules, respectively. *p<0.05, **p<0.01, n: number of analyzed spermatogonia. Scale bars: 10 µm. (B) Expression patterns of Piwil1 in five classes of Meioc-expressing spermatogonia in testis sections. The graph shows intensities of Piwil1 in wild-type testes sections for each class of the spermatogonia. The characteristic large nucleoli of spermatogonial stem cells (SSCs) were identified based on nucleolar voids observed in DAPI staining. Arrows: Piwil1 detectable nucleoli; arrowheads: Piwil1 undetectable nucleoli. 51≤C and N: 51≤cytoplasmic and nuclear Meioc granules, respectively. **p<0.01. Scale bars: 10 µm. (C) Graphical abstract. Meioc prevents the nucleolar localization of Piwil1 and its associated Setdb1 and HP1α to upregulate rRNA transcripts that are required for zebrafish SSCs to differentiate.

Acknowledgments
This image is the copyrighted work of the attributed author or publisher, and ZFIN has permission only to display this image to its users. Additional permissions should be obtained from the applicable author or publisher of the image. Full text @ Elife