IMAGE

Fig. 2

ID
ZDB-IMAGE-250818-31
Source
Figures for Kawasaki et al., 2025
Image
Figure Caption

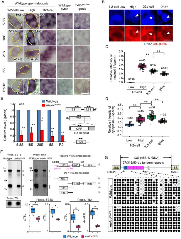
Fig. 2 Defect on upregulation of rRNA transcription in meiocmo/mo spermatogonia. (A) In situ hybridization of 5S, 5.8S, 18S, and 28S rRNA and immunohistochemistry with anti-Rpl15 antibody in spermatogonia (gonia) and spermatocytes (cyte) in wild-type and meiocmo/mo. Yellow dotted lines indicate 1- to 2-cell spermatogonia. Percentages represent the frequency of low and high 1- to 2-cell spermatogonia. (B–D) Fluorescent in situ hybridization of 28S rRNA in wild-type. The graphs present quantification of signal intensities of 28S rRNA in nucleoli (C) and in cytoplasm (D) in spermatogenic cells. Arrowheads: nucleoli; cytes: spermatocytes. (E) qRT-PCR analysis of rRNAs and R2 between wild-type and meiocmo/mo purified sox17::egfp positive spermatogonia. Two-way arrows in the schema indicate the position of primers on the rRNA and R2 element. (F) Northern blot analysis of pre-rRNA processing in wild-type and meiocmo/mo testes using probes for 5’ external transcribed spacer (ETS) and internal transcribed spacer 1 (ITS1). Right panel: schema of 45S pre-rRNA and pre-rRNA processing intermediates in zebrafish (Tao et al., 2017). Left panel: Northern blot analysis of pre-rRNA processing in wild-type and meiocmo/mo testes using 5’ETS and ITS1 probes. A probe for the 7SL RNA was used as a loading control. Graphs summarize relative signal intensity of 45S pre-rRNA and intermediates normalized to 7SL in three wild-type and meiocmo/mo testes. (G) Bisulfite-sequencing analysis of the tandem repeat region in the intergenic spacer (IGS) region of the 45S-S rDNA locus in purified undifferentiated spermatogonia of wild-type and meiocmo/mo. Arrows: position of bisulfite primers in the tandem repeat elements (blue, magenta, and white boxes); black dots: methylated CpG sites; white dots: unmethylated sites. *p<0.05, **p<0.01. Scale bars: 10 µm.

Acknowledgments
This image is the copyrighted work of the attributed author or publisher, and ZFIN has permission only to display this image to its users. Additional permissions should be obtained from the applicable author or publisher of the image. Full text @ Elife