FIGURE

Fig. Ev 3

ID
ZDB-FIG-250416-112
Publication
Gorse et al., 2025 - Portimine A toxin causes skin inflammation through ZAKα-dependent NLRP1 inflammasome activation
Other Figures
All Figure Page
Back to All Figure Page
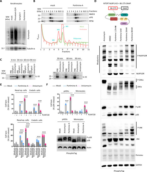
Fig. Ev 3

(refers to Fig. 3): Portimine-inhibited translation promotes ZAKα-dependent P38 activation and hNLRP1 inflammasome activation in epithelial cells. (A) Determination of protein synthesis in pHEKs in response to Sample II (1/20000 dilution), Portimine A (4 ng/mL) or Pinnatoxins-H/G (40 ng/mL) by measuring puromycin incorporation after 10 h exposure. Immunoblots show lysates from one experiment performed at least three times. (B) Ribosome profiling and ribosomal fraction analysis after exposing HEK293 cells expressing or not NLRP1 to Portimine A (4 ng/mL) for 2 h. Images and Immunoblotting are representatives of one experiment performed at least three times. (C) In vitro translation of the reporter plasmid coding for Interleukin 33 (IL-33) by rabbit reticulocyte lysates in the presence/absence of Sample II (1/20,000 dilution), Portimine A (4 ng/mL), Anisomycin (1 µg/mL). Immunoblotting are representatives of one experiment performed at least three times. (D) Phosphotag blotting of phosphorylated ZAKα, P38, JNK and NLRP1 disordered Region (DR) in NTERT NLRP1 KO + 86-275-SNAP cells exposed to various amounts of Portimine A or to the known RSR inducer Anisomycin (1 µg/mL) for one hour. Ponceau staining and GAPDH were used as internal protein loading controls. Immunoblots show lysates from one experiment performed at least two times. (E, F) Phosphotag blotting of phosphorylated P38 and cell lysis (LDH) evaluation in pHEKs, endothelial cells, nasal basal cells and human blood monocytes after 24 h exposure to pure Portimine A (4 ng/mL) or Anismoycin (1 µg/mL and 10 µg/mL in monocytes). When specified the compounds PLX4720 (ZAKα, 10 µM), Emricasan (pan Caspase inhibitor, 5 µM) and bortezomib (proteasome inhibitor, 1 µM) were used. ***P ≤ 0.0001, two-way ANOVA with multiple comparisons. Values are expressed as mean ± SEM. Graphs show one experiment performed in triplicates at least three times.

Expression Data

Expression Detail
Antibody Labeling
Phenotype Data

Phenotype Detail
Acknowledgments
This image is the copyrighted work of the attributed author or publisher, and ZFIN has permission only to display this image to its users. Additional permissions should be obtained from the applicable author or publisher of the image. Full text @ EMBO Mol. Med.