FIGURE SUMMARY
Title

Heart on a plate: histological and functional assessment of isolated adult zebrafish hearts maintained in culture

Authors
Pieperhoff, S., Wilson, K.S., Baily, J., de Mora, K., Maqsood, S., Vass, S., Taylor, J., Del-Pozo, J., MacRae, C.A., Mullins, J.J., Denvir, M.A.
Source
Full text @ PLoS One

Low power images of excised cultured hearts (days 0–5).

Upper panel (A) showing examples of excised hearts maintained in culture for 0, 3 and 5 days. Lower panel (B) shows example traces from Video-edge detection method displaying movement of the ventricle wall which was used to assess heart rate and ventricle function at days 0,3 and 5 in culture.

Histological analysis of isolated hearts.

Haematoxylin and Eosin (H&E; a–i) and Masson’s trichrome staining (j–r) of hearts at 0, 3 and 5 days in culture. Higher magnification images (g, h, i) show normal cellular architecture at day 0 and day 3 with significant changes at day 5.

Immunohistology of isolated cultured hearts.

Alpha-actinin immunostaining showing well preserved sarcomere patterns in cardiomyocytes of cultured hearts at day 0 and day 3 with loss of this typical pattern by day 5 in culture. (red is sarcomeric alpha-actinin (mouse, clone EA-53, Abcam), blue is DAPI (Serva Heidelberg)).

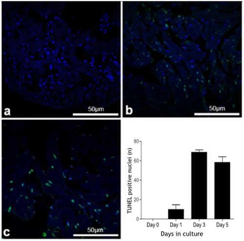
Apoptosis in isolated cultured zebrafish hearts (TUNEL staining).

Apoptotic nuclei (green) and nuclear DAPI staining (blue) in zebrafish hearts (assessed by TUNEL staining) maintained in culture for 0, 1, 3 and 5 days showing a marked increase in the number of apoptotic bodies at day 3 which is maintained at day 5.

Acknowledgments
This image is the copyrighted work of the attributed author or publisher, and ZFIN has permission only to display this image to its users. Additional permissions should be obtained from the applicable author or publisher of the image. Full text @ PLoS One