IMAGE

Fig. 6

ID
ZDB-IMAGE-140902-123
Source
Figures for Pieperhoff et al., 2014
Image
Figure Caption

Fig. 6

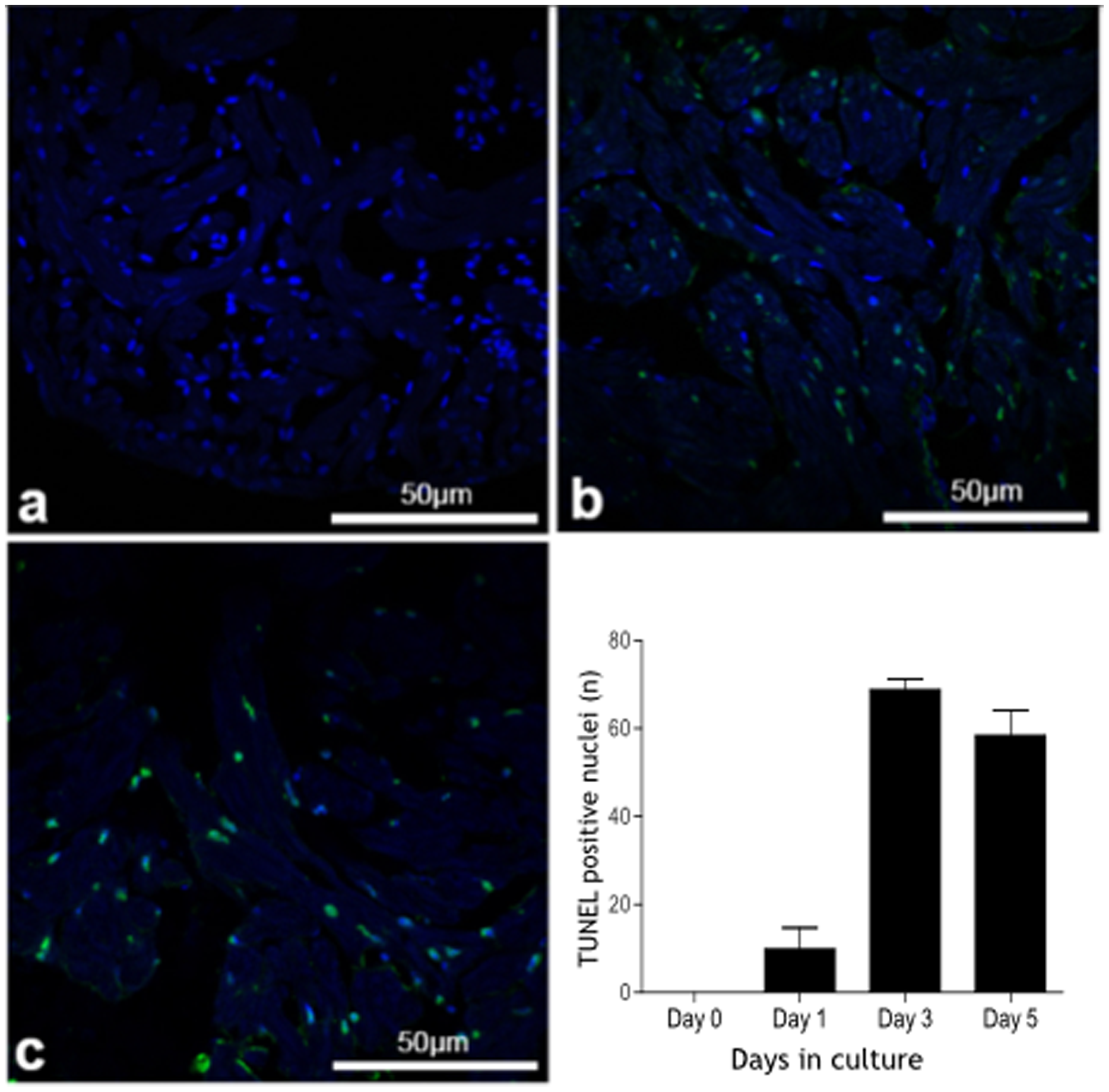
Apoptosis in isolated cultured zebrafish hearts (TUNEL staining).

Apoptotic nuclei (green) and nuclear DAPI staining (blue) in zebrafish hearts (assessed by TUNEL staining) maintained in culture for 0, 1, 3 and 5 days showing a marked increase in the number of apoptotic bodies at day 3 which is maintained at day 5.

Acknowledgments
This image is the copyrighted work of the attributed author or publisher, and ZFIN has permission only to display this image to its users. Additional permissions should be obtained from the applicable author or publisher of the image. Full text @ PLoS One