FIGURE

Fig. 2

ID
ZDB-FIG-240720-2
Publication
de Sousa et al., 2024 - Efficacy of the bumped kinase inhibitor BKI-1708 against the cyst-forming apicomplexan parasites Toxoplasma gondii and Neospora caninum in vitro and in experimentally infected mice
Other Figures
All Figure Page
Back to All Figure Page
Fig. 2

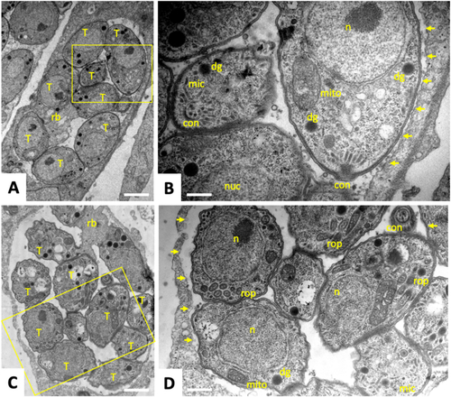
Transmission Electron Microscopy of T. gondii tachyzoites grown in human foreskin fibroblasts. Cells were fixed at 48 h (A, B) and 72 h (C, D) post-infection. Boxed areas in A and C are enlarged in B and D, respectively. T = tachyzoites, n = nucleus, con = conoid, mic = micronemes, rop = rhoptries, dg = dense granules, mito = mitochondrion, rb = residual body; small arrows point towards the parasitophorous vacuole membrane. Bars in (A) = 1.4 μm; (B) = 0.4 μm, (C) = 1.4 μm; (D) = 0.6 μm.

Expression Data

Expression Detail
Antibody Labeling
Phenotype Data

Phenotype Detail
Acknowledgments
This image is the copyrighted work of the attributed author or publisher, and ZFIN has permission only to display this image to its users. Additional permissions should be obtained from the applicable author or publisher of the image. Full text @ Int J Parasitol Drugs Drug Resist