FIGURE
Fig. 4
- ID
- ZDB-FIG-250417-4
- Publication
- Zhang et al., 2024 - Sex Difference in Histopathological and Steroidogenesis Metabolism of Zebrafish After Exposure to Spiromesifen
- Other Figures
- All Figure Page
- Back to All Figure Page
Fig. 4
|
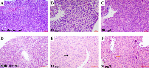
Histology observation in the female zebrafish liver after 21 days of exposure to SPM. (A) Control of female zebrafish liver (20×); (B) Liver steatosis and nuclear dissolution in female zebrafish liver after exposed to 15 μg/L of SPM (20×); (C) Female zebrafish liver inflammation and extensive necrosis after exposed to 30 μg/L of SPM (20×); (D) Control of male zebrafish liver (20×); (E) Swelling of liver cells in male fish after exposed to 15 μg/L of SPM (20×); (F) Swelling and congestion of liver cells in male zebrafish after exposed to 30 μg/L of SPM (20×). |
Expression Data
Expression Detail
Antibody Labeling
Phenotype Data
Phenotype Detail
Acknowledgments
This image is the copyrighted work of the attributed author or publisher, and
ZFIN has permission only to display this image to its users.
Additional permissions should be obtained from the applicable author or publisher of the image.
Full text @ Env. Tox.