FIGURE
FIGURE 7
- ID
- ZDB-FIG-250204-93
- Publication
- Zhang et al., 2024 - Hydrolyzed conchiolin protein inhibits melanogenesis through PKA/CREB and MEK/ERK signalling pathways
- Other Figures
- All Figure Page
- Back to All Figure Page
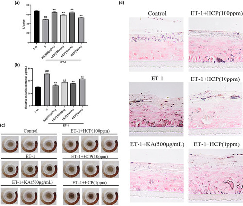
FIGURE 7
|
Effect of HCP in a 3D Melanin Skin Model. (a) Apparent brightness (L* value) (b) melanin content (c) apparent chroma (d) melanin distribution. |
Expression Data
Expression Detail
Antibody Labeling
Phenotype Data
Phenotype Detail
Acknowledgments
This image is the copyrighted work of the attributed author or publisher, and
ZFIN has permission only to display this image to its users.
Additional permissions should be obtained from the applicable author or publisher of the image.
Full text @ Int J Cosmet Sci