FIGURE SUMMARY
Title

Candidalysin Is Required for Neutrophil Recruitment and Virulence During Systemic Candida albicans Infection

Authors
Swidergall, M., Khalaji, M., Solis, N.V., Moyes, D.L., Drummond, R.A., Hube, B., Lionakis, M.S., Murdoch, C., Filler, S.G., Naglik, J.R.
Source
Full text @ J. Infect. Dis.

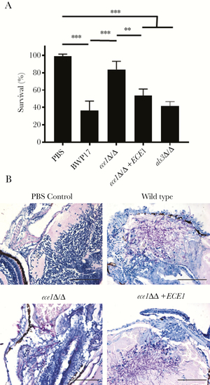
Systemic infection of zebrafish larvae with ECE1-deficient Candida albicans show improved survival compared with wild-type or ece1Δ/Δ+ECE1-infected zebrafish. (A) Zebrafish survival 24 hours after injection of 500 colony-forming unit of wild-type, ece1Δ/Δ, ece1Δ/Δ+ECE1, als3Δ/Δ or phosphate-buffered saline (PBS) as control directly into the cardinal vein. Data are presented as mean ± standard deviation (n = 4 independent experiments with at least 20 zebrafish per treatment group); statistical analysis was achieved using one-way analysis of variance with Tukey’s post hoc multiple comparison test. **, P < .01; and ***, P < .001. (B) Sagittal histological sections of periodic acid-Schiff-stained infected zebrafish showing the hyphal form of C albicans penetrating zebrafish tissue for wild-type, ece1Δ/Δ and ece1Δ/Δ+ECE1 strains compared with PBS-injected controls. Scale bars = 100 μm.

Candidalysin is required for renal neutrophil recruitment and immunopathology. (A and B) Histopathology of the kidney of mice after 1 day of infection with 2 × 105Candida albicans cells of the indicated strains. Sections (A, low magnification; B, high magnification) were stained with Gomori methenamine silver (GMS). Fungal cells are filamentous and stained black, and polymorphonuclear (PMN) cells are round and dark purple. Scale bar = 50 µm. (C) Histopathology of the pelvis region (top and middle) and renal cortex (bottom) of the mouse kidney 4 days postinfection with 2 × 105C albicans cells of the indicated strains. Sections were stained with GMS. Fungal cells are filamentous and stained black, and PMN cells are round and purple surrounding fungal filaments. Only wild-type C albicans invades the pelvis region with local immunopathology, whereas the ece1Δ/Δ remains in the renal cortex. Scale bar = 200 µm. (D) Myeloperoxidase (MPO) expression in kidney homogenates after 1 day of infection with 2 × 105C albicans cells of the indicated strains. Results are median ± interquartile range of 2 independent experiments with 10 mice per strain. Statistical significance is indicated by ****, P < .0001 (Mann-Whitney test with Bonferroni correction for multiple comparisons).

Candidalysin-induced immunopathology is required for virulence during hematogenously disseminated candidiasis. (A) Survival of immunocompetent mice after intravenous inoculation with 2 × 105 yeast phase cells of the indicated strains of Candida albicans (n  = 10). (B) Survival of leukopenic mice infected with 5 × 104 wild-type or ece1Δ/Δ C albicans yeast. Statistical significance is indicated by **, P < .01 (wild-type vs ece1Δ/Δ) and ****, P < .0001 (ece1Δ/Δ+ECE1 vs ece1Δ/Δ+ECE1Δ184–279) (Wilcoxon rank-sum test). (C) Fungal burden of the kidney, brain, spleen, and liver of leukopenic mice at 4 days postinfection after inoculation with 5 × 104 wild-type or ece1Δ/Δ C albicans yeast. Results are median ± interquartile range with 6 mice per strain. Statistical significance is indicated by **, P < .01 (Mann-Whitney test). (D) Histopathology of the pelvis region (top, lower magnification; bottom, higher magnification) of the kidney of leukopenic mice after 4 days of infection with 5 × 104C albicans cells of the indicated strains. Sections were stained with Gomori methenamine silver. Scale bars = 200 µm. CFU, colony-forming units.

Acknowledgments
This image is the copyrighted work of the attributed author or publisher, and ZFIN has permission only to display this image to its users. Additional permissions should be obtained from the applicable author or publisher of the image. Full text @ J. Infect. Dis.