FIGURE SUMMARY
Title

Expression of miRNA-122 Induced by Liver Toxicants in Zebrafish

Authors
Nam, H.S., Hwang, K.S., Jeong, Y.M., Ryu, J.I., Choi, T.Y., Bae, M.A., Son, W.C., You, K.H., Son, H.Y., Kim, C.H.
Source
Full text @ Biomed Res. Int.

Tissue-specific cell death in the zebrafish larvae treated with tamoxifen (TAM) or metronidazole (Mtz). (a) 0.1% DMSO-treated control (5 dpf) and (b) 1 µM and (c) 5 µM TAM-treated zebrafish larvae. (d) 0.1% DMSO-treated control (2 dpf) and (e) 10 mM Mtz-treated zebrafish larvae. Liver-specific cell death was visualized by reduction of transparency in the TAM-treated zebrafish larvae (red arrow), compared to brain-specific cell death in the Mtz-treated larvae (white asterisk). For Mtz experiments, the transgenic zebrafish system, having neuron-specific nitroreductase expression, was used [20].

Duration-dependent changes induced by exposure to 5 µM tamoxifen in zebrafish larvae. (a) Pretreatment at 4 dpf and (b) 2-hour exposure, (c) 4-hour exposure, (d) 8-hour exposure, (e) 12-hour exposure, and (f) 24-hour exposure. After 12 hours, tamoxifen induced cell death in zebrafish larvae liver.

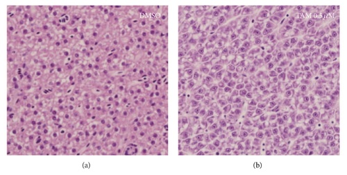
Histopathology of the adult liver treated with 0.5 µM tamoxifen for 24 hours. (a) Control untreated zebrafish liver and (b) 0.5 µM tamoxifen-treated zebrafish liver. Any significant cell death was not detectable in the 0.5 µM tamoxifen-treated adult liver, but vacuole formation was detected in hepatocytes. H&E staining.

Acknowledgments
This image is the copyrighted work of the attributed author or publisher, and ZFIN has permission only to display this image to its users. Additional permissions should be obtained from the applicable author or publisher of the image. Full text @ Biomed Res. Int.