IMAGE

Fig. 6

ID
ZDB-IMAGE-250829-24
Source
Figures for Blanco et al., 2025
Image
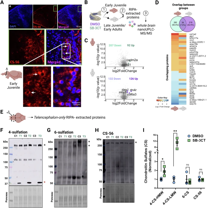
Figure Caption

Fig. 6 MMP-2/9 inhibition increases plasticity restricting 4-O-sulfated CSPGs with no difference in plasticity permissive 6-O-sulfated CSPGs. A Representative image of chondroitin sulfate (CS)-rich PNNs surrounding the cell body of cells (white arrows) within the telencephalon of early juvenile zebrafish. B Representative workflow of the proteomics assay using whole brain lysates. C Volcano plots showing downregulated and upregulated proteins after MMP-2/9 inhibition with identified known MMP-9 substrates in both groups. D Shows the percentage of overlapping and non-overlapping proteins between groups. E Representative cartoon image of a zebrafish brain showing the part of the brain (telencephalon-only) used for Western blot analyses. F–H Representative pooled telencephalon-only Western blots for 4-O-sulfation, 6-O-sulfation, and CS-56, respectively. An average of 10–15 zebrafish telencephalon-only were pooled per group (n = 3). For 4- and 6-O-sulfation, samples were first digested with ChABC. I Quantification of Western blots. Quantified bands are highlighted using asterisks. Specifically, for 4-O-sulfation high molecular weight (HMW) band is denoted by the black asterisk while the low molecular weight (LMW) band is denoted by the red asterisk. For 6-O-sulfation quantification, both HMW bands were averaged for quantification. Graphs are expressed as mean ± S.E.M. Unpaired t-test. *p < 0.05, **p < 0.01. Created in BioRender. https://BioRender.com/3xjj2ln.

Acknowledgments
This image is the copyrighted work of the attributed author or publisher, and ZFIN has permission only to display this image to its users. Additional permissions should be obtained from the applicable author or publisher of the image. Full text @ Mol. Psychiatry