IMAGE

Fig. 11

ID
ZDB-IMAGE-250827-44
Source
Figures for Zhang et al., 2025
Image
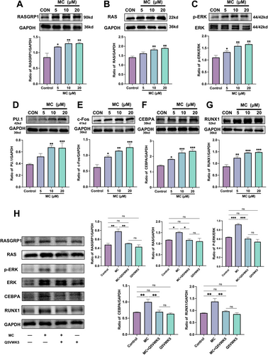
Figure Caption

Fig. 11 Mulberroside C (MC) promotes white blood cell (WBC) differentiation by activating the RASGRP1/RAS/ERK signaling pathway. (A–G) The expression levels of RASGRP1, RAS, ERK, PU.1, c-FOS, CEBPA, and RUNX1 were assessed by Western blotting after treatment of NB4 cells with MC (5–20 μM). n = 3. (H) Western blot analysis to evaluate the expression of RASGRP1, RAS, ERK, CEBPA, and RUNX1 in NB4 cells treated with MC (20 μM), Q5VWK5 (IL-23R inhibitor, 6.7 μM), or a combination of MC (20 μM) + Q5VWK5 (6.7 μM) for 5 days. The histogram shows the expression levels of RASGRP1, RAS, ERK, CEBPA, and RUNX1 in each treatment group. n = 3. Data are expressed as the mean ± SEM. *p < 0.05; **p < 0.01; ***p < 0.001 versus corresponding control groups. ns = no significance.

Acknowledgments
This image is the copyrighted work of the attributed author or publisher, and ZFIN has permission only to display this image to its users. Additional permissions should be obtained from the applicable author or publisher of the image. Full text @ Phytother. Res.