IMAGE

Fig. 4

ID
ZDB-IMAGE-240401-35
Source
Figures for Topi et al., 2024
Image
Figure Caption

Fig. 4

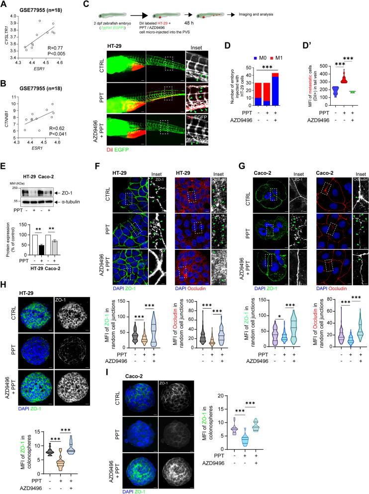
Activation of ERα promotes colon cancer cell metastasis. An external dataset composed of data for CC patients with liver metastasis (GSE77955, n = 18) was used to analyse the correlations of CysLT1R (CYSLTR1) and β-catenin (CTNNB1) with ERα (ESR1). The scatter plots show the positive correlations between ESR1 and both (A) CYSLTR1 and (B) CTNNB1. C Schematic cartoon showing the zebrafish embryo-based colon cancer metastasis model. DiI-labelled HT-29 cells left untreated or treated with PPT alone or in combination with AZD9496 were injected into the perivitelline space of 2 dpf zebrafish embryos, and the embryos were incubated for 48 h. Images showing the metastatic spread of HT-29 cells in the tail veins of zebrafish embryos in each group (CTRL, n = 30; PPT, n = 30; AZD9496 + PPT, n = 43). Scale bars: full-size images; 10 μm, insets; 2 μm. The insets show the regions enclosed in the dotted lines in the full-size tail images. The arrows point to the metastatic foci and transendothelial migration of cancer cells. D Graphs showing the number of embryos with (M1, mets) or without (M0, no mets) metastasis in each group and D′, quantification of tail vein metastasis using the mean fluorescence intensity (MFI) of the embryos with metastasis. E Western blots showing the expression of the tight junction protein ZO-1 in HT-29 and Caco-2 cells treated with PPT (40 nM) alone or in combination with AZD9496 (0.3 nM, 30 min). Graph showing the densitometric analysis of alterations in protein expression as a percentage of the loading control (α-tubulin). The blots are representative of n = 3 independent experiments. For the bar graphs, unpaired t-test was used. F Immunofluorescence analysis of ZO-1 and Occludin expression in HT-29 cells treated with PPT (40 nM) alone or in combination with AZD9496 (0.3 nM, 30 min). Greyscale images (insets) showing a representative region of interest (dotted line) for ZO-1 and Occludin staining. Scale bars: full-size images; 5 μm, insets; 1 μm. Violin plots showing the mean fluorescence intensity of ZO-1 (CTRL, n = 116; PPT, n = 105, AZD9496 + PPT, n = 107) and Occludin in random cell-cell junctions (CTRL, n = 103; PPT, n = 110, AZD9496 + PPT, n = 108). P values were calculated with unpaired Student’s t test. The arrows indicate gaps in ZO-1 expression. G Immunofluorescence analysis of ZO-1 and Occludin expression in Caco-2 cells treated with PPT (40 nM) alone or in combination with AZD9496 (0.3 nM, 30 min). Greyscale images (insets) showing representative regions of interest for ZO-1 and Occludin staining. Scale bars: full-size images; 5 μm, insets; 1 μm. Violin plots showing the mean fluorescence intensity of ZO-1 (CTRL, n = 108; PPT, n = 116, AZD9496 + PPT, n = 105) and Occludin (CTRL, n = 105; PPT, n = 115, AZD9496 + PPT, n = 116) in random cell-cell junctions. The arrows indicate gaps in ZO-1 or Occludin expression. H Immunofluorescence analysis of ZO-1 in HT-29 cell-derived colonospheres treated with PPT (40 nM) alone or in combination with AZD9496 (0.3 nM, 30 min). Scale bars: 10 μm. Violin plot showing the mean fluorescence intensity of ZO-1 in random colonospheres (CTRL, n = 31; PPT, n = 28, AZD9496 + PPT, n = 30). The arrows indicate ZO-1 expression in the disseminated cells from the colonospheres. I Immunofluorescence analysis of ZO-1 in Caco-2 CC cell-derived colonospheres treated with PPT (40 nM) alone or in combination with AZD9496 (0.3 nM, 30 min). Scale bars: 10 μm. Violin plot showing the mean fluorescence intensity of ZO-1 in random colonospheres (CTRL, n = 29; PPT, n = 26, AZD9496 + PPT, n = 28). The data are presented as the mean ± SEM of three experiments. P values < 0.5 were considered significant were calculated using the chi-square test in D and an unpaired Student’s t test in D′-I

Acknowledgments
This image is the copyrighted work of the attributed author or publisher, and ZFIN has permission only to display this image to its users. Additional permissions should be obtained from the applicable author or publisher of the image. Full text @ Cell Commun. Signal.