IMAGE

Fig. 2

ID
ZDB-IMAGE-240223-18
Source
Figures for Thomasen et al., 2023
Image
Figure Caption

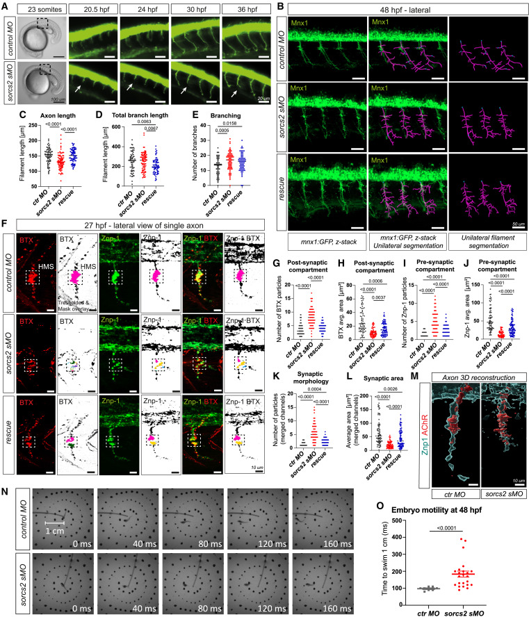
Fig. 2 sorcs2 deficiency causes morphological defects at NMJs and lower motility in zebrafish embryos (A) Differential interference contrast images at 20.5 hpf and time-lapse of Tg(mnx1:GFP)ml2 embryos from 20.5 to 36 hpf. Truncated motor axons (arrows) of sorcs2 KD embryos pause longer at horizontal myoseptum (HMS) before continuing ventrally, but remain truncated at later stages. (B–E) (B) Confocal z-stack images of mnx1:GFP embryos at 48 hpf with reconstructed motor axons (purple). Filament quantification of axon length (C), branching (E), and total branch length (D). n = 70–84 neurons from 10–12 embryos/condition. (F) IF staining of the NMJs show z-stack projections of single axons labeled by Znp-1 (synaptotagmin-2; presynaptic compartment) and BTX-555 (AChRs; postsynaptic compartment) at 27 hpf. Black-and-white panels show segmented images with quantified NMJs. (G‒L) Quantification of HMS area revealed fragmented synapse morphology (K) while covering smaller synaptic area (L) in postsynaptic (G and H) and presynaptic (I and J) compartments. n = 90–99 axons from 10–11 embryos/condition. (M) Axonal 3D reconstruction of (F). (N) Touch-response assay of 48 hpf embryos. (O) Quantification of embryo motility. n = 10–21 embryos/genotype. All graphs show mean ± SEM. See also Figure S2; Videos S1, S2, S3, and S4.

Acknowledgments
This image is the copyrighted work of the attributed author or publisher, and ZFIN has permission only to display this image to its users. Additional permissions should be obtained from the applicable author or publisher of the image. Full text @ Cell Rep.