IMAGE

Fig. 5

ID
ZDB-IMAGE-220927-44
Source
Figures for Saronni et al., 2022
Image
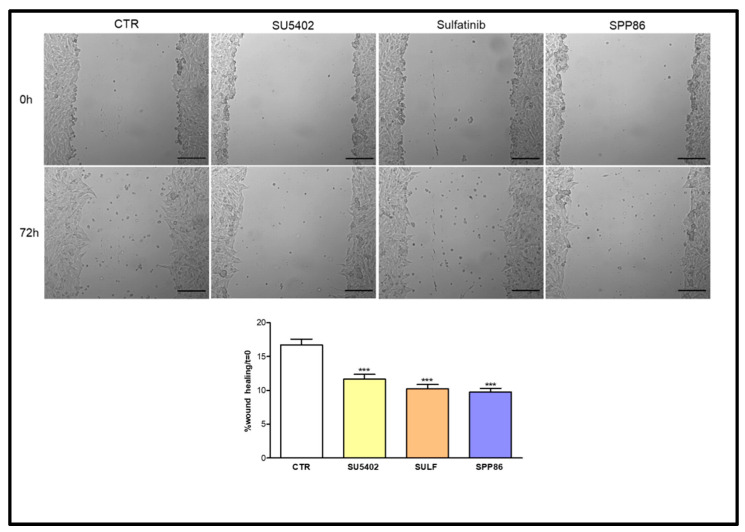
Figure Caption

Fig. 5

Effect of SU5402, SULF and SPP86 on TT cell migration compared to vehicle treated CTR. The area of wound was recorded at 0 and 3 days, and the percentage of wound healing with respect to T0 was calculated using the equation reported in Material and Methods section. Data are reported as mean ± standard error of the mean of at least 3 independent experiments. Scale bar 200 μm. ***: p < 0.001, CTR: control, SULF: sulfatinib.

Acknowledgments
This image is the copyrighted work of the attributed author or publisher, and ZFIN has permission only to display this image to its users. Additional permissions should be obtained from the applicable author or publisher of the image. Full text @ Cancers