IMAGE

Fig. S6

ID
ZDB-IMAGE-151130-66
Source
Figures for Faria et al., 2015
Image
Figure Caption

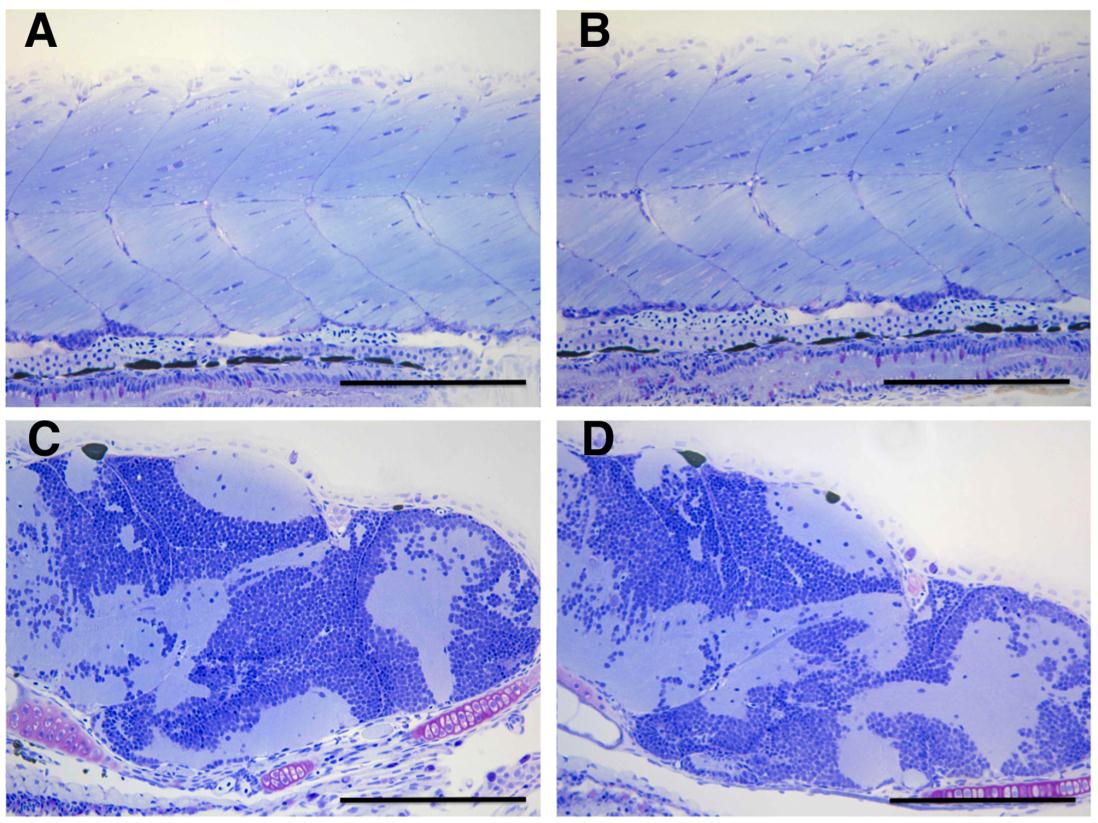
Fig. S6 Histopathological analysis of grade 1 phenotype. Semithin sections, at the trunk (A,B) and brain (C,D) level, of representative 8 days post-fertilization control (A,C) and grade 1 (B,D) larvae. No differences in the axial fast-twitch muscle fibers or brain are evident at histological level. Scale bar: 200 µm.

Acknowledgments
This image is the copyrighted work of the attributed author or publisher, and ZFIN has permission only to display this image to its users. Additional permissions should be obtained from the applicable author or publisher of the image. Full text @ Sci. Rep.