IMAGE

Fig. S10

ID
ZDB-IMAGE-151130-57
Source
Figures for Faria et al., 2015
Image
Figure Caption

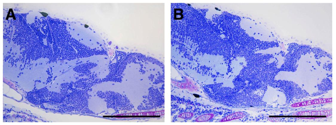
Fig. S10 Histophathological evaluation of the central nervous system in grade 2 phenotype. Semithin section of the brain of representative control (A) and grade 2 (B) 8 days post-fertilization larvae. No differences in the histology of the brain were evident in grade 2 larvae respect to the control. Scale bar: 200 µm.

Acknowledgments
This image is the copyrighted work of the attributed author or publisher, and ZFIN has permission only to display this image to its users. Additional permissions should be obtained from the applicable author or publisher of the image. Full text @ Sci. Rep.