IMAGE

Figure 10

ID
ZDB-IMAGE-241019-33
Source
Figures for Silva et al., 2024
Image
Figure Caption

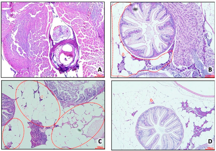
Figure 10

Representative photomicrograph, at 10× using a 100 µm objective, of visceral adipose tissue from adult zebrafish (three months) with diet-induced obesity (DIO) for eight weeks. In control group 2, an accumulation of unilocular adipocytes was observed involving organs located in the abdominal cavity (dashed circle) with the presence of macrophages (red arrow) (B). The fish in obesity group 1 showed an extensive area of unilocular adipose tissue distributed in the abdominal cavity (red outline), in addition to a crown of macrophages surrounding the adipocytes (red arrow) (C). Zebrafish from obesity group 2 presented the highest number of unilocular adipocytes surrounded by macrophages (red arrow). (A) Control group 1: fed with Artemia sp. (first month: 15 mg/day/fish and in the second month 30 mg/day/fish); (B) control group 2: fed with commercial food (3.5% of the group’s average weight); (C) obesity group 1: overfed with powdered egg yolk mixed with soybean oil (2.5:1 w/w)—5% of average body weight; (D) obesity group 2—overfed with Artemia sp. in the first month (60 mg/day/fish) and in the second month (120 mg/day/fish).

Acknowledgments
This image is the copyrighted work of the attributed author or publisher, and ZFIN has permission only to display this image to its users. Additional permissions should be obtained from the applicable author or publisher of the image. Full text @ Nutrients