IMAGE

Fig. S6

ID
ZDB-IMAGE-241016-63
Source
Figures for Lascaux et al., 2024
Image
Figure Caption

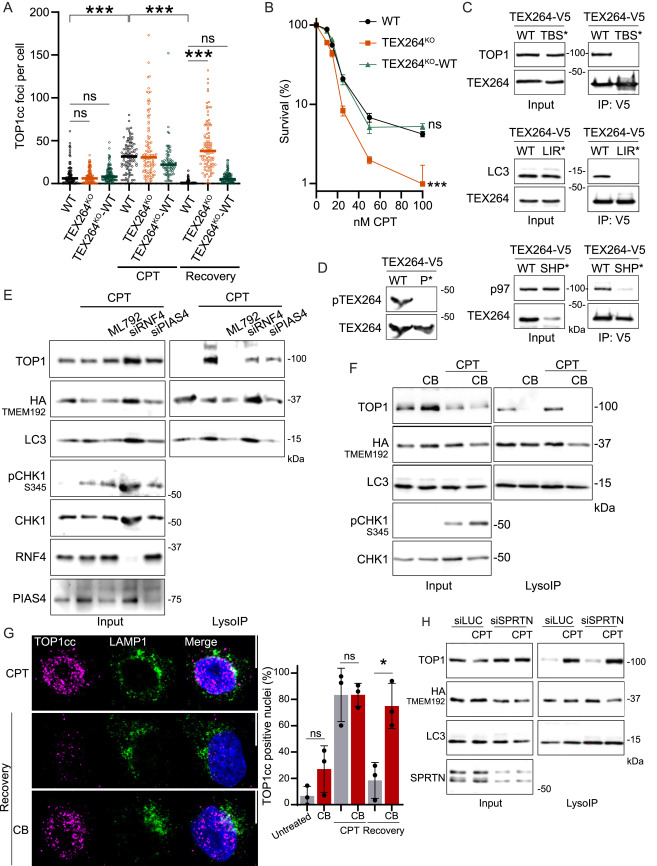
Fig. S6 TEX264 with p97 and SUMO acts as the receptor for TOP1cc degradation by autophagy, related to Figure 6 (A) Immunofluorescence of TOP1cc foci in WT cells, TEX264KO, or TEX264KO complemented with TEX264WT after 2 h of 50 nM CPT, followed by 2 h of recovery. Quantification TOP1cc foci per nuclei, one experiment shown (n = 3). Two-way ANOVA. Error bar, SD. (B) Quantification of a representative clonogenic assay in WT, TEX264KO or TEX264KO complemented with TEX264WT after 8 h of CPT treatment (n = 3). Error bar represents mean ± SEM. Two-way ANOVA. (C) Co-immunoprecipitation of TEX264-V5 either WT or TBS∗, LIR∗ or SHP∗ mutants to confirm the loss of interaction with respective TEX264-binding partners. (D) Lysate of cells expressing TEX264 WT or P∗ mutant. The antibody used to detect phosphorylation specifically recognizes TEX264 phosphorylated on serines 271 and 272. (E) LysoIP was performed after 5 h of treatment with 50 nM CPT and the inhibitor of SUMO E1 activating enzyme ML792. siRNA targeting RNF4 and PIAS4. All conditions were treated with 50 nM BAF (n = 3). (F) LysoIP performed after 5 h of treatment with 50 nM CPT and 10 μM of p97 inhibitor CB-5083 (CB). All conditions were treated with 50 nM BAF (n = 3). (G) Immunofluorescence of TOP1cc foci after 2 h of 50 nM CPT. Recovery was performed for 2 h in media or with the p97 inhibitor CB-5083 (CB). Scale bar, 10 μm. Quantification of positive nuclei for TOP1cc foci (n = 3). Two-way ANOVA. Error bar, SD. (H) LysoIP performed after 3 h of treatment with 50 nM CPT, depletion of SPRTN achieved using siRNA against SPRTN; control siLUC (n = 3). All conditions were treated with 50 nM BAF. ∗p < 0.05; ∗∗∗p < 0.0005; ns, not significant.

Acknowledgments
This image is the copyrighted work of the attributed author or publisher, and ZFIN has permission only to display this image to its users. Additional permissions should be obtained from the applicable author or publisher of the image.

Reprinted from Cell, 187(20), Lascaux, P., Hoslett, G., Tribble, S., Trugenberger, C., Antičević, I., Otten, C., Torrecilla, I., Koukouravas, S., Zhao, Y., Yang, H., Aljarbou, F., Ruggiano, A., Song, W., Peron, C., Deangeli, G., Domingo, E., Bancroft, J., Carrique, L., Johnson, E., Vendrell, I., Fischer, R., Ng, A.W.T., Ngeow, J., D'Angiolella, V., Raimundo, N., Maughan, T., Popović, M., Milošević, I., Ramadan, K., TEX264 drives selective autophagy of DNA lesions to promote DNA repair and cell survival, 5698-5718.e26, Copyright (2024) with permission from Elsevier. Full text @ Cell