IMAGE

Figure 1

ID
ZDB-IMAGE-221211-251
Source
Figures for da Rocha et al., 2022
Image
Figure Caption

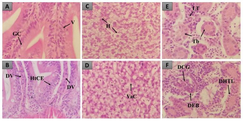
Figure 1

Representative pictures of the organs analyzed. (A,B) The intestine; (C,D) the liver; (E,F) the kidney. GC: goblet cells, V: villi, DV: dilation of vessels, HpCE: hypertrophy of the epithelial cells, H: hepatocytes, VaC: cytoplasm vacuolization, LT: linfoid tissue, Tb: tubules, DCG: glomeruli capillary dilation, DEB: decreased Bowman space. H&E (40×).

Acknowledgments
This image is the copyrighted work of the attributed author or publisher, and ZFIN has permission only to display this image to its users. Additional permissions should be obtained from the applicable author or publisher of the image. Full text @ Pharmaceuticals (Basel)