IMAGE

Figure 4

ID
ZDB-IMAGE-220416-53
Source
Figures for Giaquinto et al., 2022
Image
Figure Caption

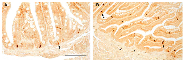
Figure 4 Figure 4. NPY immunoreactivity in the foregut of zebrafish. Transverse sections of the foregut of 6-month-old zebrafish showing NPY immunopositivity in the cytoplasm of enteroendocrine cells (arrows) (A,B) and in varicosities in the myenteric plexus (asterisks) (B).

Acknowledgments
This image is the copyrighted work of the attributed author or publisher, and ZFIN has permission only to display this image to its users. Additional permissions should be obtained from the applicable author or publisher of the image. Full text @ Int. J. Mol. Sci.