IMAGE

Fig. 1

ID
ZDB-IMAGE-180202-9
Source
Figures for Madigan et al., 2017
Image
Figure Caption

Fig. 1

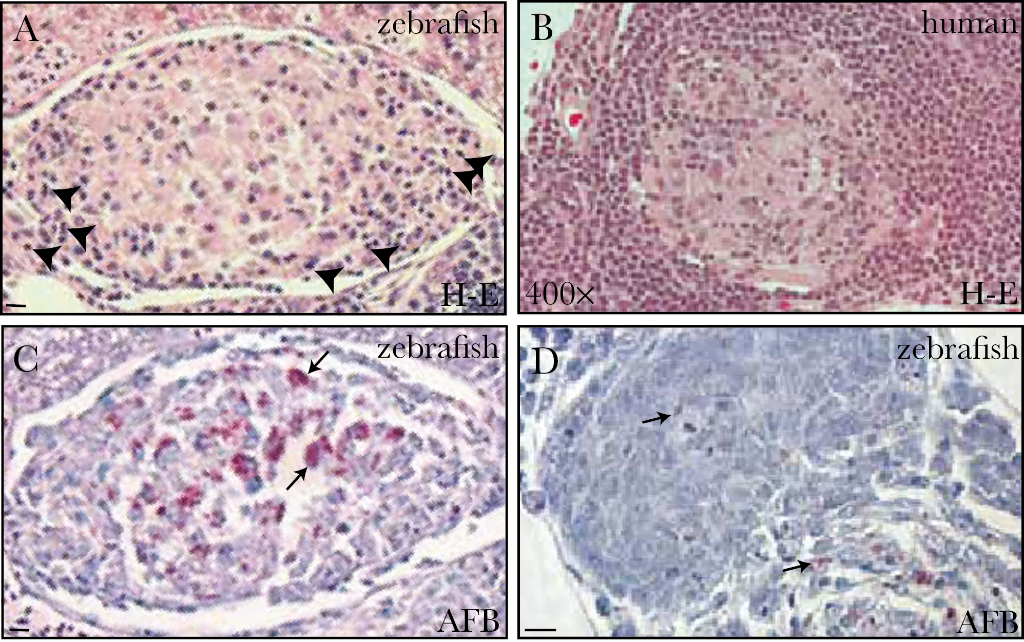
Adult zebrafish are susceptible to Mycobacterium leprae infection. A, Hematoxylin-eosin (H-E)–stained section of a granuloma in the peritoneal cavity of a wild-type adult zebrafish 7 days after infection with 5 × 107 Thai53 strain M. leprae. Arrowheads indicate lymphocyte nuclei. B, Granuloma from a skin biopsy specimen from a patient with tuberculoid leprosy. The image is from the archives of the Lauro de Souza Lima Institute. C, Serial section of the granuloma in panel A, stained for acid-fast bacilli (AFB) to detect M. leprae; many bacteria are present (arrows). D, AFB-stained granuloma section from the peritoneal cavity of a similarly infected fish, 7 days after infection; few bacteria are present. Arrows indicate bacilli. Bars denote 10 μm.

Figure Data
Acknowledgments
This image is the copyrighted work of the attributed author or publisher, and ZFIN has permission only to display this image to its users. Additional permissions should be obtained from the applicable author or publisher of the image. Full text @ J. Infect. Dis.