IMAGE

Fig. 5

ID
ZDB-IMAGE-121101-51
Source
Figures for Wang et al., 2012
Image
Figure Caption

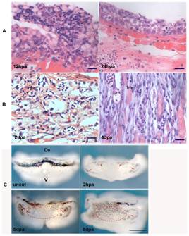
Fig. 5 Cellular constitution of wound epidermis and blastema.

Figure A shows morphological transitions of wound epidermis cells. At 12 hpa, different types of cells were observed to mount the epidermis. At 24 hpa, these cells became epidermal types and well organized. Scale bars, 25 µm. Figure B shows blastema formation and cellular transitions from 2 dpa to 4 dpa. At 2 dpa, multiple cell types contributed to blastema formation. By 4 dpa, almost all types became mesenchymal cells. fbc, fibroblast cells (indicated by arrow); nbc, nucleated blood cells; fmc, fragmented muscle cell. Because zebrafish red blood cells are nucleated, the notion of nucleated blood cells here includes undifferentiated BMMSCs, and immature and mature hematopoietic cells that have nuclei. Scale bars, 50 μm. Figure C shows regeneration of pigment cells in the blastema region. Before amputation (uncut), black and brown pigment cells are present predominantly at the dorsal epidermis and hypodermis as arrows indicated. At 2 hpa, a few pigment cells were seen in the wound (2 hpa). Gradually yellow pigment cells increased and appeared mostly along the blastema surrounding area (5 dpa). At 8 dpa, mix-colored cells spread over the whole blastema region (indicated by a dotted circle). No any stain was used. Scale bars, 500 μm.

Acknowledgments
This image is the copyrighted work of the attributed author or publisher, and ZFIN has permission only to display this image to its users. Additional permissions should be obtained from the applicable author or publisher of the image. Full text @ PLoS One