IMAGE

Fig. 7

ID
ZDB-IMAGE-121101-49
Source
Figures for Wang et al., 2012
Image
Figure Caption

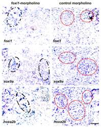
Fig. 7 foxi1 is important for reformation of chondrogenic blastema.

In comparison with control morpholino-treated animals, foxi1 vivo morpholino treatment disturbed the reformation of chondrogenic blastema at 5 dpa. In the control slides, foxi1, sox9a and hoxa2b were widely expressed in the chondrogenic blastema. Each gene had its distribution patterns (red dotted circles) and partly overlapped with other genes. After foxi1 knockdown, foxi1- and sox9a-expression cells reduced (black dash-dotted circle) and appeared to be congregated in the areas close to the damaged mandible and the Meckel′s cartilage. Hoxa2b-expressing cells were delocalized and particularly accumulated in the center of blastema (black dash-dotted circle). Scale bars, 50 μm.

Acknowledgments
This image is the copyrighted work of the attributed author or publisher, and ZFIN has permission only to display this image to its users. Additional permissions should be obtained from the applicable author or publisher of the image. Full text @ PLoS One