IMAGE

Fig. 4

ID
ZDB-IMAGE-110422-1
Source
Figures for Herpin et al., 2010
Image
Figure Caption

Fig. 4

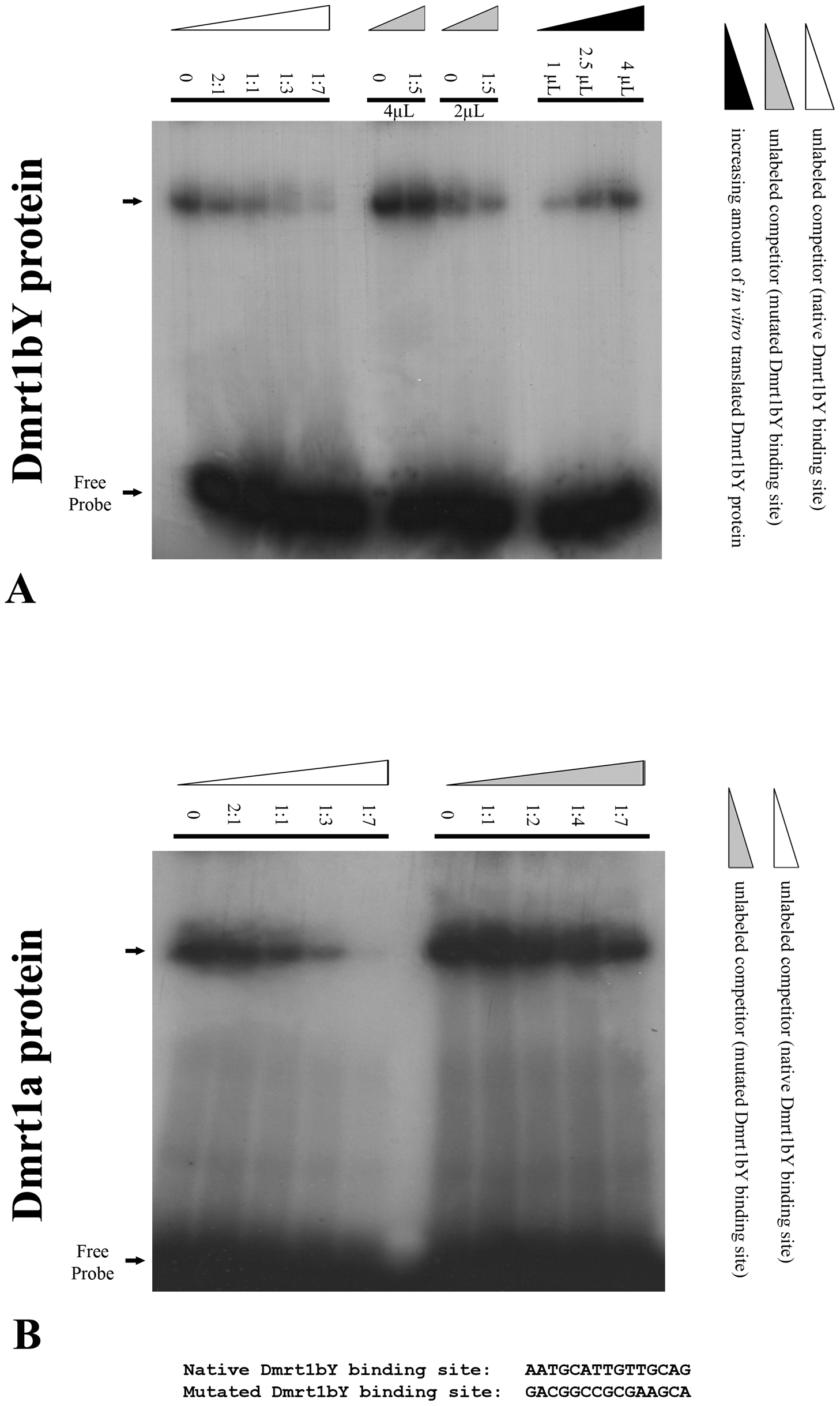
Gel mobility shift using increasing amounts of either in vitro translated Dmrt1bY or Dmrt1a proteins to shift a constant amount of radiolabelled dmrt1 probe. Binding reactions were resolved on a 5% polyacrylamide gel. (A) In vitro translated Dmrt1bY protein was incubated with radiolabelled Dmrt1bY target sequence as a probe, and non-radiolabelled probe was used as a competitor. (B) In vitro translated Dmrt1a protein was incubated with radiolabelled Dmrt1bY target sequence as a probe, and non-radiolabelled control (non-specific) probe was used as a competitor.

Acknowledgments
This image is the copyrighted work of the attributed author or publisher, and ZFIN has permission only to display this image to its users. Additional permissions should be obtained from the applicable author or publisher of the image. Full text @ PLoS Genet.